BNews Nordeste

Jovem é assassinado a tiros quando voltava do trabalho

Divulgação / PM - PI
De acordo com a Polícia Militar, o jovem morava no bairro e estava voltando do trabalhando quando foi abordado por três homens em um carro branco que atiraram contra ele  |   Bnews - Divulgação Divulgação / PM - PI

Publicado em 07/10/2023, às 19h19   Cadastro por Bruno Guena



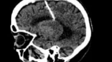
Um jovem foi morto com três tiros na cabeça quando voltava do trabalho no bairro Angelim, Teresina (PI), na tarde deste sábado. A vítima foi identificada como Mateus.

De acordo com o sargento Pereira, do 22° Batalhão da Polícia Militar, o jovem morava no bairro e estava voltando do trabalhando quando foi abordado por três homens em um carro branco que atiraram contra ele.

"Os autores dos disparos fugiram e não foram identificados. Os vizinhos contaram que a vítima morava sozinho e nenhum parente apareceu no local", informou.

A Polícia Militar acredita que o crime seja uma retaliação ao irmão da vítima, que teria baleado uma mulher na semana passada e teria envolvimento com organização criminosa.

Classificação Indicativa: Livre

Facebook Twitter WhatsApp Google News Bnews


Cadastre-se na Newsletter do Bnews (Beta)