Mundo
Duas aeronaves já deixaram o Brasil em direção a Tel Aviv para retirar 900 brasileiros
O jovem estava em uma rave próximo à Faixa de Gaza quando começou o ataque do grupo islâmico Hamas
Nas imagens, o palestino carrega sua bebê já morta no colo e a abraça pela pela última vez
Vídeos mostram jovens fugindo de ataque do Hamas que deixou pelo menos 260 mortos em rave
Companhias aéreas suspendem voos em Israel após ataque do grupo islâmico Hamas
Um brasileiro ficou ferido e três estão desaparecidos após ataques em Israel
Vaginas de gesso tinham como destino uma galeria de arte na cidade de Irkutsk, na Rússia
Tendência é que o números de mortes de civis siga crescendo na região
Rafaela Treistman estava em um festival com o namorado Ranani Nidejelski Glazer
Iraniano Khamenei financia tanto o Hamas quanto a Jihad Islâmica Palestina; grupos terroristas estão por trás dos ataques de sábado
Local de realização do festival Universo Paralello foi um dos atingidos pelos ataques do Hamas
Até o momento mais de 800 pessoas morreram no confronto
Número de mortes já ultrapassou a marca de 300 na Palestina
Brasileiro estava em uma rave, na cidade de Beer Sheva, sul de Israel, quando foi surpreendido pelo ataque
Bombardeios foram registrados na Faixa de Gaza e Israel neste domingo
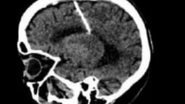
Idosa viveu a maior parte de sua vida com a agulha enfiada no cérebro
Presidente dos EUA fez comentários a respeito da guerra de Israel contra o Hamas
Amigos chegaram a relatar que o brasileiro estava escondido em um abrigo, mas que o local teria sido invadido
Um brasileiro está ferido e outros dois desaparecidos; não há registros de brasileiros mortos
Idoso foi atacado por canguru enquanto passeava de moto
Bombardeio atinge o sul de Israel e já fez quase 300 vítimas
Pelo menos 298 pessoas morreram em ataque feito pelo grupo Hamas
Mais de 5 mil bombas foram lançadas e os ataques foram feitos pelo grupo Hamas
"O nosso inimigo pagará um preço que nunca conheceu”, garantiu o primeiro-ministro de Israel
Piada aconteceu enquanto os dois ainda ouviam o padre palestrando no casamento
Autoridades estudam hipóteses sobre possível surto nervoso sobre as estudantes
Autoridade local no aeroporto alegou que fezes poderia provocar problemas de saúde
Hóspede exige alta quantia em dinheiro para deixar local
Bota que criança usava ficou presa na escada rolante, e advogados da família alegam defeito
Motorista abordado pela policial revelou o segredo da agente